نکاتی که عدم توجه به آنها می تواند به شکست درمان بیانجامد.
برای قالبگیری ترجیحا از سیلیکونهای افزایشی نوع A مثل پاناسیل استفاده گردد مگر آنکه این مواد در دسترس نباشند که در اینصورت می توانید از سی سیلیکون ها یا حتی آلژینات هم استفاده کنید ولی در هر صورت، قالبهایی که گرفته میشوند باید تمام خصوصیات ذکر شده در این صفحه را داشته باشند تا از تکرار قالبگیری پیشگیری شود. ( قالبهای آلژیناتی و حتی سی سیلیکونها باید سریعا ریخته شوند).

نکته 1 : هنگام قالبگیری لطفا لبها و زبان بیمار کاملا کنار زده شوند و ترجیحا تا عمق وستیبول در قالب ثبت گردد.
نکته 2: قالبها بدون “هر گونه حباب یا پارگی یا خرابی”، بخصوص در نواحی دندانها و مارجین لثه بوده و تا دیستال آخرین دندان در قالب ثبت شود.
نکته 3: لطفا از تری هایی استفاده کنید که به اندازه کافی بزرگ باشند تا تمام نواحی به خوبی ثبت گردند و به تعداد لازم، سوراخ داشته باشند تا ماده قالبگیری از آنها جدا نشود.
نکته4: بهتر است رابطه دندانهای بالاو پایین با مواد مخصوص بایت گرفته شوند ولی اگر این مواد در دسترس نیستند می توانید رابطه را با استفاده از موم ثبت کنید. نکته مهم اینکه فقط “یک لایه نازک ” موم بین دندانها قرار داده شود تا رابطه گرفته شود و این رابطه در حالتی که بیمار، دندانهایش را به طور عادی روی هم قرار می دهد به طور دقیق گرفته شود.
در بیشتر کیس های کاندید ارتودنسی نامرئی، اتچمنتها نقش بسیار مهم و حیاتی، در پیشبرد درمان بازی می کنند به طوری که انجام بسیاری حرکات “کنترل شده” دندانی، اساسا بدون وجود اتچمنتهای کامپوزیتی، غیرممکن است. این برجستگی های کامپوزیتی، توسط پزشک معالج و با استفاده از تمپلیت (Template) که به عنوان یک راهنمای عالی برای اتچمنت گذاری در درمان با الاینرهای شفاف به کار می روند و ظاهری شبیه الاینر دارد، بر روی دندانهای مشخصی قرار می گیرند.
تمپلیت توسط ما با استفاده از تکنولوژی CAD/CAM ساخته شده و به مطب ارسال می گردد و جهت اتچمنت گذاری در ابتدای درمان و یا میانه درمان به کار می رود.
این ویدیوی کوتاه، نحوه اتچمنت گذاری را به نمایش می گذارد:
استریپینگ یا IPR (Interproximal Reduction) یکی از روش های ایجاد فضا در بیماران ارتودنسی است که برای مرتب نمودن دندانهای آنها کمبود فضا وجود دارد. این عمل که به میزان مجاز از مینای دندان را در نقطه تماس دو دندان مجاور هم بر میدارد از لحاظ علمی و اصولی، عملی پذیرفته شده برای جبران کمبود فضا در بیماران ارتودنسی می باشد که هم در روش ارتودنسی نامرئی کاربرد دارد و هم در ارتودنسی با سیم و بند و براکت.
مقدار و محل و زمان استریپینگ بر اساس نوع و شدت نامنظمی دندانی فرد، در لابراتوار B-Align و به وسیله نرم افزار اوریجینال اختصاصی Dental Studio مشخص می گردد که البته لابراتوار هم برای تعیین انجام یا عدم انجام IPR و زمان و محل و مقدار آن با دندانپزشک و یا ارتودنتیست تبادل نظر می کند.
تصویر دو نمونه از گیج مختص استریپینگ که باید حتما در استریپینگ از آن استفاده گردد:

در بسیاری از موارد می توان برای راحتی و همچنین دقت بیشتر در اتچمنت گذاری، تمپلیت را در دو یا سه ناحیه برش داد که این کار توسط ما در لابراتوار انجام میگیرد:
سوء تفاهم بزرگی که در مورد درمان با الاینرهای شفاف برای برخی از ارتودنتیستها یا دندانپزشکان که تجربه کافی در زمینه الاینرتراپی ندارند وجود دارد این است که تصور می کنند اگر تمام الاینرها را به بیمار بدهند و خود بیمار بدون نظارت دکتر بر روند درمان، از الاینرها استفاده کند کار تمام است و نتیجه مطلوب از درمان حاصل می شود. اگر چه ممکن است در مورد برخی کیس های ساده که البته خود بیمار هم در مورد استفاده دقیق و صحیح از الاینرها به خوبی توجیه شده است نتیجه قابل قبول حاصل شود ولی درمورد کیس های متوسط یا پیچیده این اتفاق نمی افتد و درمان گاها با شکست روبرو می شود. حتی اگر امکان مراجعه منظم بیمار به مطب به دلیل دوری راه ( حضور بیمار در شهرستان های دور یا خارج از کشور) وجود ندارد باید نظارت دکتر بر درمان از طریق ویرچوال و با کاربرد فضای مجازی و دیجیتال ( واتس اپ، تلگرام، ارسال عکس و فیلم از طریق ایمیل … ) انجام گیرد و راهنمایی های لازم در زمانهایی که درمان به مشکل می خورد و برای مثال الاینر شماره 13 روی دندانها فیت نمی شود از طرف درمانگر به بیمار داده شود تا از شکست درمان پیشگیری گردد.
درمان مال اکلوژن های کلاس دو دنتال با استفاده همزمان از الاینر شفاف و الاستیک و باتن ( و یا براکت باند شده روی دندان منتخب و یا مینی اسکرو )
امروزه الاینرهای شفاف، به راحتی در درمان مال اکلوژن های کلاس دو دنتال مورد استفاده قرار میگیرند. بدین ترتیب که با استفاده از کاترهای مخصوص، ناچ مخصوص در ناحیه لازم ( به عنوان مثال در مزیال کانین بالا ) در الاینر، ایجاد شده و همزمان، در نقطه ای دیگر از الاینر (برای نمونه در ناحیه باکال دندان مولر اول پایین ) با استفاده از نوعی دیگر از کاتر، برشی نیم دایره جهت باند کردن یک باتن یا براکت روی سطح باکال دندان مولر اول پایین، ایجاد شده و الاستیک بین آن براکت یا باتن از یک طرف و آن ناچ ایجاد شده در الاینر در ناحیه مزیال کانین بالا از طرف دیگر، قرار می گیرد و همزمان که بیمار از الاینر استفاده می کند دندانهای خلفی بالا به همراه کانین مربوطه، دیستاله شده و در وضعیت کلاس یک قرار می گیرند.
در واقع، درمانگر با استفاده از الاستیک مذکور، از دندان مولر اول پایین به عنوان یک نقطه بسیار خوب انکوریج استفاده می کند و به دندانهای کانین بالا و دندانهای خلفی بالا کمک می کند تا حرکت کنترل شده به سمت دیستال را که در کامپیوتر برای آنها برنامه ریزی شده را بطور عملی (و در واقع بدون از دست رفتن انکوریج) در فضای دهان بیمار داشته باشند.
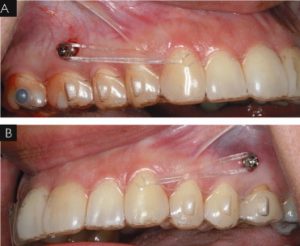
در تصویر زیر از مینی اسکرو به عنوان انکوریج استخوانی مطمئن برای دیستاله کردن سگمنت خلفی بیمار، استفاده شده است به نحوی که الاستیک از یک طرف، بین ناتچ ایجاد شده در الاینر در مزیال کانین های بالا قرار گرفته و از طرف دیگر به مینی اسکرو متصل شده است و بدین ترتیب از مینی اسکرو به عنوان انکوریج استخوانی قابل اعتماد استفاده می شود تا حرکت دیستالی دندانهای خلفی و کانین که در کامپیوتر برنامه ریزی و انجام شده است در محیط واقعی دهان نیز بطور عملی و کنترل شده، قابل انجام باشد.

مقالات خواندنی مرتبط با الاینرتراپی کیس های کلاس 2
Creative Adjuncts for Clear Aligners ……. Class II Treatment
Improving the predictability of clear aligners
Class II correction with the Invisalign system
MINI SCREWS (TADS) AND ALIGNERS……. EXPAND YOUR POSSIBILITIES
جهت مطالعه هر مقاله، لطفا روی عنوان آن کلیک (تب) کنید: